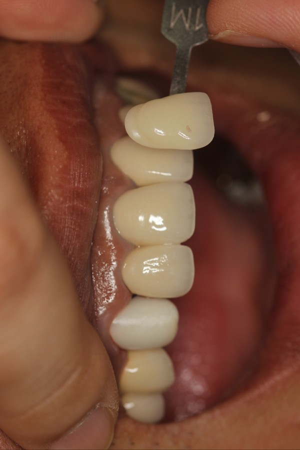
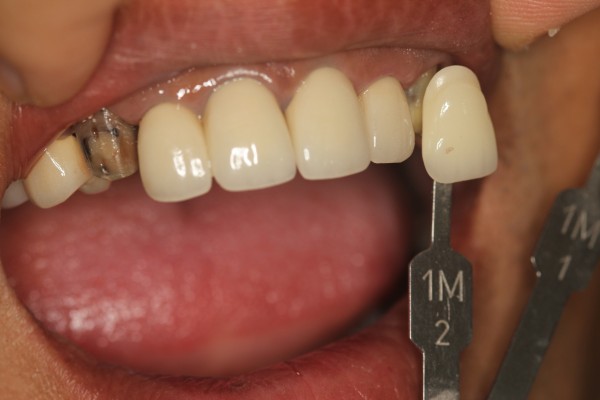
지르코니아 변색치 마스킹 코어
1,543
2022.08.12 16:28
첨부파일
-
- 첨부파일: 1.JPG (964.7K)0 2022-08-12 16:28:03
-
- 첨부파일: 2.JPG (922.5K)0 2022-08-12 16:28:03
-
- 첨부파일: 3.JPG (829.1K)0 2022-08-12 16:28:03
-
- 첨부파일: 4.JPG (881.8K)0 2022-08-12 16:28:03
-
- 첨부파일: 5.JPG (848.2K)0 2022-08-12 16:28:03
-
- 첨부파일: 6.JPG (884.7K)0 2022-08-12 16:28:03
짧은주소
본문
지르코니아 변색치 마스킹 코어

댓글목록
등록된 댓글이 없습니다.