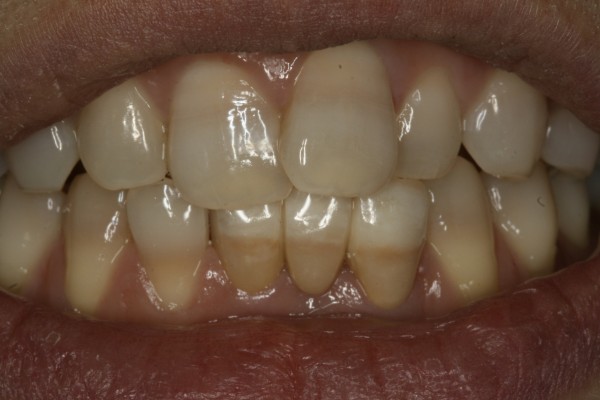
엔도안된 전치부 inner stain 최고관리자 메일보내기 아이디로 검색 0 1,668 2022.08.12 16:25 첨부파일 - 첨부파일: 1.jpg (1.0M) 0 2022-08-12 16:25:59 짧은주소 - 짧은주소: http://www.oralart.co.kr/bbs/?t=3m 주소복사 × 짧은 글주소 복사 Note! 위 주소를 드래그, 복사(Ctrl+C)하여 사용하세요. 이전글다음글 목록 본문 엔도안된 전치부 inner stain 댓글목록 등록된 댓글이 없습니다.
댓글목록
등록된 댓글이 없습니다.